Leukocyte Peroxidase (POX) Stain
(Benzidine Method)

Intended Use:
This kit is for staining bone marrow cell and blood cell smear.
Principle:
Benzidine method: Intracellular peroxidase can let the colorless diamino benzidine hydrogen atom transfer to hydrogen peroxide. The former becomes colored dye deposited on where the cytoplasmic enzyme location.
Specifications:
|
Contents |
5Tests/Kit |
20Tests/Kit |
100Tests/Kit |
Components |
|
Benzidine |
1vial×2.5ml |
1vial×10ml |
1vial×50ml |
Benzidine |
|
H2O2 |
1vial×2.5ml |
1vial×20ml |
1vial×100ml |
H2O2 |
|
WG (Solution C) |
1vial×5ml |
1vial×20ml |
1vial×100ml |
Potassium Iodide |
|
Wright-Giemsa |
1vial×1.5ml |
1vial×5.5ml |
1vial×25ml |
Wright-Giemsa |
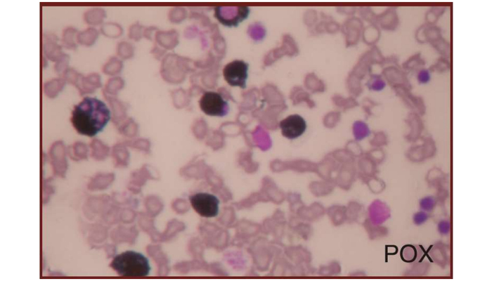
Interpretation of the test result:
Positive reaction appeared Yellow-brown or Blue to Black-blue granules.

